Invisalign is a clear alternative to traditional braces. It is a proprietary product created by Align technology. Compared to braces, Invisalign is:
- Faster than braces¹
- More comfortable than braces²
- More predictable than braces³
Invisalign also has a lower risk of cavities than braces during the course of treatment.
Invisalign has been used to help straighten teeth for over 14 million people worldwide.
Dr. Grewal and his team have been extensively trained in orthodontic treatment of patients using Invisalign. As a general dentist who shows his dedication and commitment towards achieving the highest levels of patient satisfaction, he is also one of the only gold-level providers of Invisalign treatment in Kelowna.
Due to his extensive continuing education in orthodontics, he feels confident treating patients using both braces and Invisalign. Dr. Grewal can treat patients of all ages, starting as young as 6-7 years old using an advanced product called Invisalign First (in conjunction with other resources to take advantage of a child’s growth when needed), right through the teen years using specialized products called Invisalign First and Invisalign Teen. Adults can be treated with a variety of products depending on the complexity of the case and the desired outcome.
Dr. Grewal is also a proud member of the AACA (American Academy of Clear Aligners), enhancing patients’ lives through ongoing training and support with the world’s most knowledgeable clear aligner dentists.
INVISALIGN
Proper Growth
Dr. Grewal is also very mindful of the optimal conditions needed for proper growth and development of facial structures, and how simple things like a tongue-tie or lip-tie can affect the growth of the jaws. His team is also trained in myofunctional therapy in case there is a necessity to train the body for proper growth of the jaws and face. Sometimes the assessment of these conditions can start as early as 4 years old. Unless there is a strong genetic component for improper growth, most conditions can be managed by proper growth modifications.
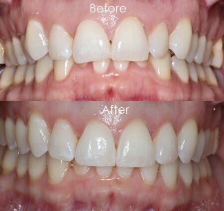
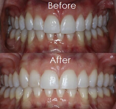
Before & After
Continuing Education
Long Term Research
Recently, there has been a lot of long-term research suggesting that improper breathing in young children (as young as 4 years old) can affect the growth of the child’s face, affect the cognitive ability of the child, and have an overall negative effect on the child’s wellbeing. To address this, Dr. Grewal has become more aware of sleep disorders like sleep apnea and other “sleep breathing disorders”.
INVISALIGN
Thorough Assessment
Dr. Grewal does a thorough assessment of the airway to deduce if there are signs of any impediment in a child’s breathing. He has the knowledge and skill to help create better conditions for proper breathing and eventually better health and growth of the child. This usually has a huge impact on the child’s health throughout his or her life.
This can also be achieved with growth modification; however, this can only be achieved at specific growing ages for the child, which are different for males and females. The most ideal age to assess a child for a sleep breathing disorder would be as early as 6 years old. Growth modification can today be predictably achieved using the recent advancements in Invisalign.
There are always situations/tooth conditions that will be best managed using braces under the supervision of an orthodontist. Dr. Grewal is very cognizant of this and will inform patients if this is the case, at which point he may refer to an orthodontist.
¹ Gu, J et al. Evaluation of Invisalign treatment effectiveness and efficiency compared with conventional fixed appliances using the Peer Assessment Rating index. Am J Orthod Dentofacial Orthop February 2017, 151 259-66 Buschang, P et al Comparative time efficiency of aligner therapy and conventional edgewise braces. Angle Orthodontist, Vol 84, No 3, 2014.
² David W. White, Katie C. Julien, Helder Jacob, Phillip M. Campbell and Peter H. Buschang, Discomfort associated with Invisalign and traditional brackets: A randomized, prospective trial. The Angle Orthodontist Nov 2017, Vol. 87, No. 6 pp. 801-808.
³ Compared to Invisalign aligners previously made from single-layer (EX30) material.






